January 20, 2025

Temporal Styloid Process

Temporal Styloid Process

The Temporal Styloid Process is a bony projection located on the temporal bone of the skull, just below the ear. This small but significant structure plays a crucial role in the anatomy and function of the head and neck region. Understanding the Temporal Styloid Process is essential for healthcare professionals, particularly those involved in dentistry, otolaryngology, and neurology. This blog post delves into the anatomy, function, clinical significance, and associated conditions of the Temporal Styloid Process.

Anatomy of the Temporal Styloid Process

The Temporal Styloid Process is a thin, pointed bony projection that extends downward from the inferior surface of the temporal bone. It is situated just below the external auditory meatus, the opening of the ear canal. The process is typically about 2-3 cm in length and varies in shape and size among individuals. It serves as an attachment site for several important muscles and ligaments, including:

  • The stylohyoid muscle, which connects the Temporal Styloid Process to the hyoid bone and aids in swallowing and speech.
  • The styloglossus muscle, which connects the Temporal Styloid Process to the tongue and helps in tongue movement.
  • The stylopharyngeal muscle, which connects the Temporal Styloid Process to the pharynx and assists in swallowing.
  • The styloid ligament, which connects the Temporal Styloid Process to the lesser horn of the hyoid bone.

The Temporal Styloid Process is also closely related to the carotid artery and the internal jugular vein, which pass through the carotid sheath near the process. This proximity is clinically significant, as it can be involved in certain pathological conditions.

Function of the Temporal Styloid Process

The primary function of the Temporal Styloid Process is to serve as an attachment point for the muscles and ligaments involved in swallowing, speech, and tongue movement. These muscles work together to facilitate various functions of the head and neck region, including:

  • Swallowing: The stylohyoid, styloglossus, and stylopharyngeal muscles all play a role in the complex process of swallowing, helping to move food from the mouth to the stomach.
  • Speech: The styloglossus muscle aids in tongue movement, which is essential for clear and articulate speech.
  • Head and neck movement: The muscles attached to the Temporal Styloid Process also contribute to the stability and movement of the head and neck.

Additionally, the Temporal Styloid Process serves as a landmark for various surgical procedures in the head and neck region. Its consistent location and anatomical relationships make it a valuable reference point for surgeons.

Clinical Significance of the Temporal Styloid Process

The Temporal Styloid Process is clinically significant due to its involvement in various pathological conditions. Some of the most notable conditions associated with the Temporal Styloid Process include:

Eagle Syndrome

Eagle Syndrome is a rare condition characterized by an elongated Temporal Styloid Process or a calcified stylohyoid ligament. This elongation or calcification can cause compression or irritation of nearby structures, leading to a variety of symptoms, including:

  • Neck pain
  • Facial pain
  • Pain or discomfort in the throat or ear
  • Difficulty swallowing
  • Dizziness
  • Tinnitus (ringing in the ears)

Eagle Syndrome can be diagnosed through a combination of clinical examination, imaging studies, and sometimes, diagnostic injections. Treatment options may include conservative measures such as pain management and physical therapy, or surgical intervention to shorten the Temporal Styloid Process.

Styloid Process Fractures

Fractures of the Temporal Styloid Process are relatively rare but can occur due to trauma to the head or neck region. These fractures can cause pain, swelling, and difficulty moving the head and neck. Treatment typically involves pain management and immobilization, with surgical intervention reserved for severe or displaced fractures.

Styloid Process Impingement

Impingement of the Temporal Styloid Process can occur due to various factors, such as inflammation, infection, or anatomical variations. This impingement can cause pain and discomfort in the head, neck, or ear region. Treatment typically involves addressing the underlying cause and may include pain management, anti-inflammatory medications, or surgical intervention.

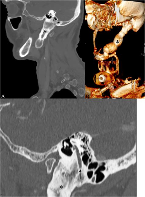
Diagnosis and Imaging of the Temporal Styloid Process

Diagnosing conditions related to the Temporal Styloid Process often involves a combination of clinical examination and imaging studies. Some of the most commonly used imaging modalities include:

  • Plain radiographs: X-rays can provide a basic assessment of the Temporal Styloid Process and surrounding structures. However, they may not always be sufficient for a detailed evaluation.
  • Computed tomography (CT) scans: CT scans offer a more detailed view of the Temporal Styloid Process and can help identify fractures, elongation, or other abnormalities.
  • Magnetic resonance imaging (MRI): MRI provides excellent soft tissue contrast and can help evaluate the muscles, ligaments, and other structures associated with the Temporal Styloid Process.

In some cases, diagnostic injections or nerve blocks may be used to confirm the source of pain and guide treatment decisions.

Treatment Options for Temporal Styloid Process Conditions

Treatment options for conditions related to the Temporal Styloid Process vary depending on the underlying cause and severity of symptoms. Some of the most common treatment approaches include:

Conservative Management

Conservative management strategies may include:

  • Pain management: Over-the-counter or prescription pain medications can help alleviate discomfort associated with Temporal Styloid Process conditions.
  • Anti-inflammatory medications: Nonsteroidal anti-inflammatory drugs (NSAIDs) can help reduce inflammation and pain.
  • Physical therapy: Exercises and manual therapy techniques can help improve range of motion, strength, and flexibility in the head and neck region.
  • Lifestyle modifications: Avoiding activities that exacerbate symptoms, maintaining good posture, and using supportive pillows or cushions can help manage symptoms.

Surgical Intervention

In cases where conservative management is ineffective, surgical intervention may be necessary. Surgical options may include:

  • Styloidectomy: This procedure involves the surgical removal or shortening of the Temporal Styloid Process. It is typically performed under general anesthesia and may be done through an open or endoscopic approach.
  • Stylohyoid ligament release: In some cases, releasing the stylohyoid ligament may help alleviate symptoms associated with Eagle Syndrome or other conditions.

Surgical intervention is generally reserved for severe or refractory cases and should be carefully considered in consultation with a healthcare professional.

Prevention and Management Strategies

While some conditions related to the Temporal Styloid Process may not be preventable, there are several strategies that can help manage symptoms and improve overall head and neck health:

  • Maintain good posture: Proper posture can help reduce strain on the head and neck muscles and ligaments, potentially preventing or alleviating symptoms.
  • Stay hydrated: Adequate hydration is essential for overall health and can help maintain the integrity of muscles, ligaments, and other soft tissues.
  • Engage in regular exercise: Regular physical activity can help improve strength, flexibility, and range of motion in the head and neck region.
  • Avoid repetitive strain: Activities that involve repetitive movements of the head and neck should be avoided or modified to reduce the risk of injury or irritation.
  • Seek prompt medical attention: If symptoms related to the Temporal Styloid Process develop, it is important to seek medical attention promptly to prevent complications and ensure appropriate treatment.

By incorporating these strategies into daily life, individuals can help manage symptoms and improve overall head and neck health.

📝 Note: Always consult with a healthcare professional before starting any new exercise or treatment program, especially if you have a pre-existing medical condition or are experiencing symptoms related to the Temporal Styloid Process.

Associated Conditions and Complications

Conditions related to the Temporal Styloid Process can sometimes lead to complications or be associated with other medical issues. Some of the most notable associated conditions and complications include:

Temporomandibular Joint (TMJ) Disorders

TMJ disorders can sometimes be associated with conditions related to the Temporal Styloid Process. The close proximity of the Temporal Styloid Process to the temporomandibular joint can lead to referred pain or other symptoms. Treatment for TMJ disorders may involve a combination of conservative management strategies and, in some cases, surgical intervention.

Cervicogenic Headaches

Cervicogenic headaches originate from the neck and can sometimes be associated with conditions related to the Temporal Styloid Process. These headaches can cause pain and discomfort in the head, neck, and face regions. Treatment typically involves addressing the underlying cause and may include pain management, physical therapy, or other conservative measures.

Vascular Complications

Due to its proximity to the carotid artery and internal jugular vein, conditions related to the Temporal Styloid Process can sometimes lead to vascular complications. These complications can include:

  • Carotid artery dissection: This condition involves a tear in the inner lining of the carotid artery, which can lead to blood clots, stroke, or other serious complications.
  • Internal jugular vein thrombosis: This condition involves the formation of a blood clot in the internal jugular vein, which can lead to swelling, pain, and other symptoms.

Vascular complications related to the Temporal Styloid Process are relatively rare but can be serious. Prompt medical attention is essential to prevent complications and ensure appropriate treatment.

Research and Future Directions

Research on the Temporal Styloid Process and associated conditions is ongoing, with a focus on improving diagnosis, treatment, and prevention strategies. Some of the key areas of research include:

  • Imaging techniques: Advances in imaging technology, such as high-resolution CT and MRI, are improving the ability to diagnose and evaluate conditions related to the Temporal Styloid Process.
  • Surgical techniques: Innovations in surgical techniques, including minimally invasive and endoscopic approaches, are enhancing the effectiveness and safety of treatments for Temporal Styloid Process conditions.
  • Conservative management strategies: Research is ongoing to develop and refine conservative management strategies, such as physical therapy, pain management, and lifestyle modifications, to improve outcomes for patients with Temporal Styloid Process conditions.
  • Associated conditions: Studies are investigating the relationship between the Temporal Styloid Process and other medical conditions, such as TMJ disorders and cervicogenic headaches, to improve understanding and treatment of these complex issues.

As research continues, it is hoped that new insights and advancements will lead to improved diagnosis, treatment, and prevention of conditions related to the Temporal Styloid Process.

In conclusion, the Temporal Styloid Process is a small but significant structure in the head and neck region. Its role in swallowing, speech, and head and neck movement, as well as its involvement in various pathological conditions, makes it an important area of study for healthcare professionals. By understanding the anatomy, function, and clinical significance of the Temporal Styloid Process, healthcare providers can better diagnose and treat conditions related to this structure, ultimately improving patient outcomes and quality of life.

Related Terms:

  • temporal styloid process anatomy
  • elongated styloid process
  • styloid process anatomy
  • temporal styloid process fracture
  • styloid process location and function
  • elongated temporal styloid process