December 4, 2025

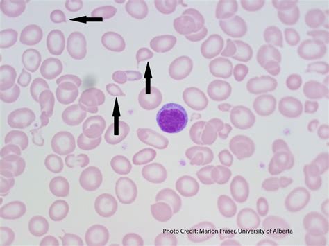
Tear Drop Cells

Tear Drop Cells

In the realm of hematology, the study of blood and blood-forming tissues, the identification and analysis of various blood cell types are crucial for diagnosing and understanding a wide range of diseases. Among these cell types, Tear Drop Cells hold particular significance due to their distinctive shape and the conditions under which they are often found. This blog post delves into the characteristics, causes, and clinical implications of Tear Drop Cells, providing a comprehensive overview for medical professionals and enthusiasts alike.

Understanding Tear Drop Cells

Tear Drop Cells, also known as dacryocytes, are red blood cells (RBCs) that exhibit a characteristic teardrop or pear-shaped morphology. Unlike the typical biconcave disc shape of normal RBCs, Tear Drop Cells have a pointed end and a rounded end, resembling a teardrop. This unique shape is not a normal feature of healthy blood cells but rather an indication of underlying pathological conditions.

Characteristics of Tear Drop Cells

Tear Drop Cells are distinguished by several key characteristics:

  • Shape: The most notable feature is their teardrop or pear-shaped morphology.
  • Size: They are often larger than normal RBCs, a condition known as macrocytosis.
  • Color: The cells may appear hypochromic, meaning they have less hemoglobin than normal RBCs.
  • Distribution: Tear Drop Cells are typically found in the peripheral blood smear, where they can be identified through microscopic examination.

Causes of Tear Drop Cells

Tear Drop Cells are associated with various hematological and non-hematological conditions. Some of the most common causes include:

Bone Marrow Disorders

Bone marrow disorders are a primary cause of Tear Drop Cells. These disorders can affect the production and maturation of blood cells, leading to the formation of abnormal shapes. Examples include:

  • Myelofibrosis: A condition where the bone marrow is replaced by fibrous tissue, leading to the production of abnormal blood cells.
  • Myelodysplastic Syndromes (MDS): A group of disorders characterized by ineffective blood cell production and the presence of abnormal blood cells.
  • Leukemia: Certain types of leukemia, particularly chronic myeloid leukemia (CML), can result in the presence of Tear Drop Cells.

Iron Deficiency Anemia

Iron deficiency anemia is another condition that can lead to the formation of Tear Drop Cells. In this condition, the body lacks sufficient iron to produce hemoglobin, resulting in the production of abnormal RBCs. The teardrop shape is thought to be a compensatory mechanism to increase the surface area for gas exchange.

Thalassemia

Thalassemia is a genetic blood disorder that affects the production of hemoglobin. In some cases, Tear Drop Cells may be present due to the abnormal hemoglobin production and the resulting changes in RBC morphology.

Splenomegaly

Splenomegaly, or an enlarged spleen, can also lead to the presence of Tear Drop Cells. The enlarged spleen can trap and destroy abnormal RBCs, leading to the release of teardrop-shaped cells into the peripheral blood.

Clinical Implications of Tear Drop Cells

The presence of Tear Drop Cells in a blood smear can have significant clinical implications. It often indicates an underlying hematological disorder that requires further investigation and management. Some of the key clinical implications include:

Diagnostic Value

Tear Drop Cells serve as a valuable diagnostic marker for various hematological disorders. Their presence in a blood smear can prompt further diagnostic tests, such as bone marrow biopsy, genetic testing, or imaging studies, to identify the underlying cause.

Prognostic Indicator

In some conditions, the presence of Tear Drop Cells can be a prognostic indicator. For example, in myelofibrosis, the number of Tear Drop Cells can correlate with the severity of the disease and the patient's prognosis.

Treatment Considerations

The identification of Tear Drop Cells can influence treatment decisions. For instance, in iron deficiency anemia, the presence of Tear Drop Cells may indicate the need for iron supplementation or other therapeutic interventions to correct the underlying deficiency.

Diagnostic Approach to Tear Drop Cells

The diagnostic approach to Tear Drop Cells involves a combination of clinical evaluation, laboratory tests, and imaging studies. The following steps are typically involved:

Clinical Evaluation

A thorough clinical evaluation is essential to identify any symptoms or signs that may be associated with the presence of Tear Drop Cells. This includes a detailed medical history, physical examination, and assessment of any relevant risk factors.

Laboratory Tests

Laboratory tests play a crucial role in the diagnosis of conditions associated with Tear Drop Cells. These tests may include:

  • Complete Blood Count (CBC): To assess the number and morphology of blood cells.
  • Peripheral Blood Smear: To visualize the presence of Tear Drop Cells and other abnormal blood cells.
  • Bone Marrow Biopsy: To evaluate the bone marrow for any underlying disorders.
  • Genetic Testing: To identify any genetic mutations associated with conditions like thalassemia or myelodysplastic syndromes.

Imaging Studies

Imaging studies, such as ultrasound or computed tomography (CT) scans, may be used to assess the size and condition of the spleen or other organs that may be affected by the underlying disorder.

📝 Note: The diagnostic approach should be tailored to the individual patient's clinical presentation and the suspected underlying condition.

Management and Treatment of Conditions Associated with Tear Drop Cells

The management and treatment of conditions associated with Tear Drop Cells depend on the underlying cause. Some of the common treatment approaches include:

Bone Marrow Disorders

For bone marrow disorders, treatment may involve:

  • Chemotherapy: To reduce the number of abnormal blood cells.
  • Bone Marrow Transplant: To replace the diseased bone marrow with healthy bone marrow.
  • Supportive Care: To manage symptoms and complications, such as anemia or infections.

Iron Deficiency Anemia

Treatment for iron deficiency anemia typically involves:

  • Iron Supplementation: To correct the underlying iron deficiency.
  • Dietary Modifications: To increase the intake of iron-rich foods.
  • Treatment of Underlying Causes: Such as gastrointestinal bleeding or malabsorption.

Thalassemia

Management of thalassemia may include:

  • Blood Transfusions: To maintain adequate hemoglobin levels.
  • Iron Chelation Therapy: To remove excess iron from the body.
  • Gene Therapy: In some cases, to correct the underlying genetic mutation.

Splenomegaly

Treatment for splenomegaly may involve:

  • Medications: To reduce spleen size and manage underlying conditions.
  • Splenectomy: Surgical removal of the spleen in severe cases.

📝 Note: The choice of treatment should be individualized based on the patient's clinical condition, the severity of the disease, and the presence of any comorbidities.

Future Directions in the Study of Tear Drop Cells

The study of Tear Drop Cells continues to evolve, with ongoing research aimed at improving our understanding of their pathogenesis and clinical significance. Some of the future directions in this field include:

Molecular and Genetic Studies

Advances in molecular and genetic technologies are providing new insights into the mechanisms underlying the formation of Tear Drop Cells. These studies may lead to the identification of novel biomarkers and therapeutic targets for conditions associated with Tear Drop Cells.

Imaging Techniques

Improved imaging techniques, such as high-resolution microscopy and advanced imaging modalities, are enhancing our ability to visualize and characterize Tear Drop Cells. These techniques may help in the early detection and monitoring of conditions associated with Tear Drop Cells.

Clinical Trials

Clinical trials are essential for evaluating the efficacy and safety of new treatments for conditions associated with Tear Drop Cells. Ongoing and future clinical trials may lead to the development of more effective and targeted therapies.

In conclusion, Tear Drop Cells are a fascinating and clinically significant aspect of hematology. Their distinctive shape and association with various hematological and non-hematological conditions make them an important diagnostic and prognostic marker. Understanding the characteristics, causes, and clinical implications of Tear Drop Cells is crucial for medical professionals in diagnosing and managing underlying disorders. As research continues to advance, we can expect further insights into the pathogenesis and treatment of conditions associated with Tear Drop Cells, ultimately improving patient outcomes.

Related Terms:

  • teardrop cells significance
  • dacrocytes
  • teardrop cells cause
  • teardrop cells blood film
  • teardrop cells 1
  • teardrop cells on blood smear