August 4, 2025

Tb X Ray

Tb X Ray

In the realm of medical diagnostics, the Tb X Ray has long been a cornerstone tool for detecting and monitoring tuberculosis (TB). This imaging technique provides invaluable insights into the lungs and other affected areas, aiding healthcare professionals in diagnosing and treating this infectious disease. Understanding the significance, process, and advancements in Tb X Ray technology is crucial for both medical practitioners and patients alike.

Understanding Tuberculosis and the Role of X-Rays

Tuberculosis is a bacterial infection caused by Mycobacterium tuberculosis, primarily affecting the lungs but also capable of spreading to other parts of the body. Symptoms can include persistent cough, chest pain, and weight loss. Early detection is key to effective treatment and prevention of spread. The Tb X Ray is a non-invasive method that uses electromagnetic radiation to produce images of the internal structures of the body, particularly the lungs.

The Process of a Tb X Ray

Obtaining a Tb X Ray involves several steps, each crucial for accurate diagnosis. Here’s a breakdown of the process:

  • Preparation: Patients are typically asked to remove any clothing or jewelry that might interfere with the X-ray images. A gown is provided for modesty.
  • Positioning: The patient stands or sits in front of the X-ray machine. For a chest X-ray, the patient is usually positioned with their back to the machine and their chest against a flat surface.
  • Exposure: The technician operates the machine to take the X-ray. The process is quick and painless, lasting only a few seconds.
  • Image Review: The images are then reviewed by a radiologist, who looks for signs of TB, such as cavities, nodules, or areas of inflammation in the lungs.

📝 Note: Patients should inform the technician if they are pregnant, as X-rays can potentially harm a developing fetus.

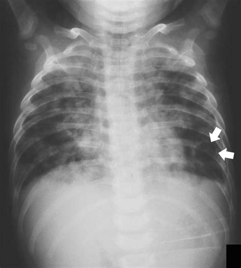
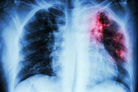
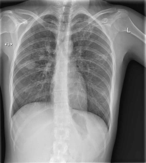
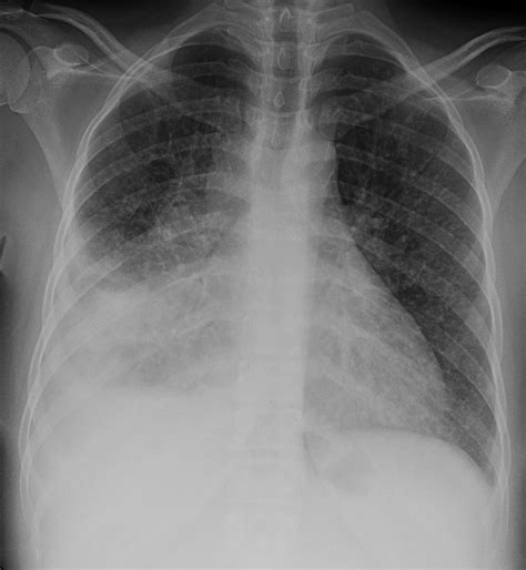
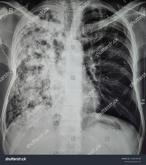
Interpreting Tb X Ray Results

Interpreting Tb X Ray results requires expertise and experience. Radiologists look for specific signs that may indicate TB:

  • Cavities: These are hollow spaces in the lungs that can form as the body tries to contain the infection.
  • Nodules: Small, round opacities that can be indicative of TB infection.
  • Infiltrates: Areas of increased density in the lung tissue, often seen in active TB.
  • Pleural Effusion: Fluid accumulation in the pleural space, which can be a complication of TB.

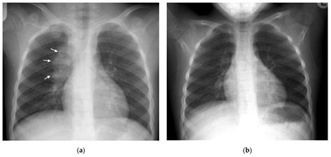
It’s important to note that while Tb X Ray can provide valuable information, it is not always conclusive. Additional tests, such as sputum tests or CT scans, may be required for a definitive diagnosis.

Advancements in Tb X Ray Technology

Technology in medical imaging is continually evolving, and Tb X Ray is no exception. Recent advancements have significantly improved the accuracy and efficiency of TB detection:

  • Digital Radiography: This technology uses digital sensors instead of traditional film, providing higher-quality images and reducing the need for retakes.
  • Computer-Aided Detection (CAD): CAD systems use algorithms to analyze X-ray images, helping radiologists identify potential signs of TB more accurately.
  • Portable X-Ray Machines: These devices allow for X-rays to be taken in remote or resource-limited settings, making TB screening more accessible.

These advancements not only enhance the diagnostic capabilities but also make the process more convenient and less invasive for patients.

Challenges and Limitations of Tb X Ray

Despite its benefits, Tb X Ray has several challenges and limitations:

  • False Negatives: Early-stage TB may not show up on an X-ray, leading to false negatives.
  • Radiation Exposure: Although the radiation dose is low, repeated X-rays can pose health risks.
  • Interpretation Variability: The accuracy of X-ray interpretation can vary among radiologists, potentially leading to misdiagnosis.

To mitigate these challenges, it is essential to combine Tb X Ray with other diagnostic tools and ensure that radiologists are well-trained in interpreting TB-related findings.

The Future of Tb X Ray

The future of Tb X Ray looks promising with ongoing research and development. Innovations such as artificial intelligence (AI) and machine learning are being integrated into diagnostic processes to enhance accuracy and efficiency. AI algorithms can analyze X-ray images more quickly and accurately than human radiologists, potentially reducing the time to diagnosis and treatment.

Additionally, advancements in portable and mobile X-ray technology are making it possible to bring diagnostic capabilities to underserved areas, where TB is often more prevalent. This democratization of medical imaging can significantly improve global health outcomes.

In conclusion, the Tb X Ray remains a vital tool in the fight against tuberculosis. Its ability to provide quick, non-invasive images of the lungs makes it an essential component of diagnostic protocols. As technology continues to advance, the accuracy and accessibility of Tb X Ray will only improve, offering better outcomes for patients and healthcare providers alike. The integration of digital radiography, computer-aided detection, and portable machines has already enhanced diagnostic capabilities, and future innovations promise even greater advancements. By leveraging these technologies, we can continue to improve TB detection and treatment, ultimately reducing the global burden of this infectious disease.

Related Terms:

  • positive tb x ray image
  • tb x ray vs normal
  • tb x ray positive
  • tb x ray images
  • tb x ray near me
  • tb x ray results