June 26, 2025

Nucleated Red Blood Cells

Nucleated Red Blood Cells

Understanding the significance of *Nucleated Red Blood Cells* (NRBCs) is crucial for anyone involved in hematology or related medical fields. These cells, which retain their nuclei unlike mature red blood cells, play a pivotal role in diagnosing various health conditions. This blog post delves into the intricacies of NRBCs, their functions, and their clinical implications.

What are Nucleated Red Blood Cells?

Nucleated Red Blood Cells are immature red blood cells that still contain a nucleus. In adults, red blood cells typically lose their nuclei as they mature, but in certain conditions, these immature cells can be found in the peripheral blood. NRBCs are normally present in the bone marrow during the early stages of red blood cell development. Their presence in the peripheral blood can indicate underlying health issues.

Functions of Nucleated Red Blood Cells

NRBCs serve several important functions in the body:

  • Oxygen Transport: Although not as efficient as mature red blood cells, NRBCs can still transport oxygen to tissues.
  • Bone Marrow Activity: The presence of NRBCs in the peripheral blood can indicate increased bone marrow activity, which is often a response to conditions like anemia or blood loss.
  • Diagnostic Marker: NRBCs are used as a diagnostic marker for various hematological disorders and other medical conditions.

Clinical Implications of Nucleated Red Blood Cells

The presence of NRBCs in the peripheral blood can be a sign of several clinical conditions. Understanding these implications is essential for accurate diagnosis and treatment.

Anemia

Anemia is a condition characterized by a decrease in the number of red blood cells or hemoglobin in the blood. NRBCs are often seen in the peripheral blood of patients with anemia, particularly in cases of severe or chronic anemia. The bone marrow responds to the decreased oxygen-carrying capacity by releasing immature red blood cells into the circulation.

Hemolytic Anemia

Hemolytic anemia occurs when red blood cells are destroyed faster than they can be produced. This condition can lead to an increase in NRBCs as the bone marrow attempts to compensate for the rapid destruction of red blood cells. The presence of NRBCs in the peripheral blood can help diagnose hemolytic anemia and guide treatment decisions.

Infections

Certain infections, particularly bacterial infections, can stimulate the bone marrow to release NRBCs into the peripheral blood. This response is part of the body's immune reaction to infection. The presence of NRBCs in the context of an infection can help differentiate between bacterial and viral infections, aiding in appropriate antibiotic therapy.

Malignancies

Some malignancies, such as leukemia and other hematological cancers, can cause an increase in NRBCs. In these cases, the bone marrow is often overactive, producing large numbers of immature blood cells. The presence of NRBCs in the peripheral blood can be an early indicator of malignancy and prompt further diagnostic tests.

Other Conditions

NRBCs can also be seen in other conditions, including:

  • Liver Disease: Certain liver diseases can affect red blood cell production and lead to the release of NRBCs.
  • Renal Failure: Chronic kidney disease can cause anemia and an increase in NRBCs.
  • Pregnancy: During pregnancy, the body's demand for oxygen increases, which can lead to a mild increase in NRBCs.

Diagnostic Techniques for Nucleated Red Blood Cells

Several diagnostic techniques are used to identify and quantify NRBCs in the peripheral blood. These techniques help in the accurate diagnosis and management of various health conditions.

Peripheral Blood Smear

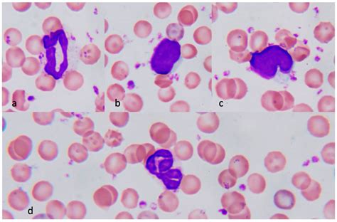
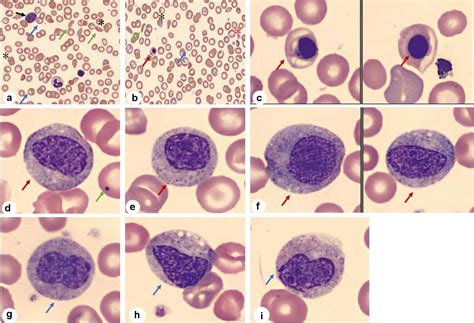
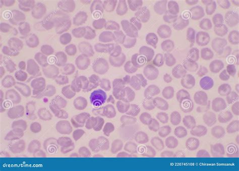
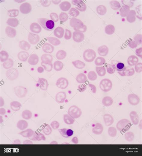
A peripheral blood smear is a common diagnostic test where a drop of blood is spread on a glass slide and stained. Under a microscope, NRBCs can be identified by their characteristic appearance, including the presence of a nucleus. This method is simple and cost-effective but requires skilled interpretation.

Automated Hematology Analyzers

Automated hematology analyzers use advanced technology to count and differentiate blood cells, including NRBCs. These machines provide quick and accurate results, making them ideal for routine blood tests. However, they may not always distinguish between different types of immature cells, requiring confirmation with a peripheral blood smear.

Flow Cytometry

Flow cytometry is a more advanced technique that uses lasers and fluorescent dyes to analyze blood cells. This method can provide detailed information about the characteristics of NRBCs, including their size, shape, and surface markers. Flow cytometry is particularly useful in diagnosing hematological malignancies and other complex conditions.

Management and Treatment

The management and treatment of conditions associated with NRBCs depend on the underlying cause. Effective treatment strategies often involve addressing the root cause of the increased NRBCs.

Anemia Management

Treatment for anemia may include:

  • Iron Supplements: For iron-deficiency anemia, iron supplements can help restore normal red blood cell production.
  • Vitamin B12 and Folate: Deficiencies in these vitamins can also cause anemia, and supplementation can be effective.
  • Blood Transfusions: In severe cases, blood transfusions may be necessary to restore red blood cell levels.

Infection Management

Managing infections that cause an increase in NRBCs involves:

  • Antibiotics: For bacterial infections, appropriate antibiotic therapy is essential.
  • Supportive Care: Ensuring adequate hydration and nutrition can support the body's immune response.

Malignancy Management

Treatment for malignancies associated with NRBCs may include:

  • Chemotherapy: To target and destroy cancer cells.
  • Radiation Therapy: To shrink tumors and reduce cancer cell proliferation.
  • Bone Marrow Transplant: In severe cases, a bone marrow transplant may be necessary.

Importance of Monitoring Nucleated Red Blood Cells

Monitoring NRBCs is crucial for several reasons:

  • Early Detection: Regular monitoring can help detect underlying conditions early, allowing for timely intervention.
  • Treatment Efficacy: Monitoring NRBC levels can assess the effectiveness of treatment and guide adjustments as needed.
  • Prognosis: The presence and levels of NRBCs can provide insights into the prognosis of various conditions, helping healthcare providers make informed decisions.

📝 Note: Regular monitoring of NRBCs should be part of routine blood tests, especially for patients with known conditions that affect red blood cell production.

Case Studies and Clinical Examples

To better understand the clinical implications of NRBCs, let's examine a few case studies:

Case Study 1: Anemia in a Pregnant Woman

A 28-year-old pregnant woman presented with symptoms of fatigue and shortness of breath. A complete blood count (CBC) revealed a low hemoglobin level and the presence of NRBCs. Further investigation showed iron-deficiency anemia, likely due to increased iron demand during pregnancy. The patient was treated with iron supplements, and her symptoms improved over time.

Case Study 2: Hemolytic Anemia in a Child

A 5-year-old child was brought to the hospital with jaundice and pallor. A CBC showed a low hemoglobin level and an increased number of NRBCs. Additional tests confirmed hemolytic anemia, and the child was treated with supportive care and blood transfusions. The underlying cause was identified as a genetic disorder, and the child was referred to a hematologist for long-term management.

Case Study 3: Leukemia in an Adult

A 45-year-old man presented with unexplained weight loss and fatigue. A CBC revealed an abnormal white blood cell count and the presence of NRBCs. Further tests, including flow cytometry, confirmed a diagnosis of acute myeloid leukemia. The patient underwent chemotherapy and achieved remission, with regular monitoring of NRBCs to assess treatment efficacy.

Future Directions in Nucleated Red Blood Cell Research

The study of NRBCs continues to evolve, with ongoing research aimed at improving diagnostic techniques and treatment strategies. Some areas of focus include:

  • Advanced Diagnostic Tools: Developing more sensitive and specific diagnostic tools for detecting NRBCs and differentiating between various types of immature cells.

Related Terms:

  • nucleated red blood cells dog
  • nucleated red blood cells 0%
  • nucleated red blood cells eclinpath
  • nucleated red blood cells low
  • nucleated red blood cells automated
  • nucleated red blood cells cat