November 19, 2025

Left Crus Of Diaphragm

Left Crus Of Diaphragm

Understanding the anatomy and function of the diaphragm is crucial for anyone interested in respiratory health, fitness, or medical studies. The diaphragm is a dome-shaped muscle that plays a vital role in breathing. One of its key components is the left crus of diaphragm, which is essential for its proper functioning. This blog post delves into the anatomy, function, and clinical significance of the left crus of diaphragm, providing a comprehensive overview for both medical professionals and enthusiasts.

Anatomy of the Diaphragm

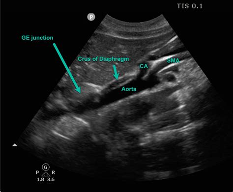
The diaphragm is a thin, muscular partition that separates the thoracic cavity from the abdominal cavity. It is composed of several parts, including the central tendon, the peripheral muscular portion, and the crura. The crura are the muscular extensions that anchor the diaphragm to the lumbar vertebrae. The left crus of diaphragm is one of these extensions, originating from the first three lumbar vertebrae (L1-L3) and extending to the central tendon.

Function of the Left Crus of Diaphragm

The primary function of the diaphragm is to facilitate respiration. During inhalation, the diaphragm contracts and flattens, increasing the volume of the thoracic cavity and allowing the lungs to expand. The left crus of diaphragm plays a crucial role in this process by providing structural support and contributing to the overall contraction of the diaphragm. Its proper functioning is essential for efficient breathing and respiratory health.

Clinical Significance of the Left Crus of Diaphragm

The left crus of diaphragm can be affected by various medical conditions, which can impact respiratory function. Some of the key clinical conditions associated with the left crus of diaphragm include:

  • Diaphragmatic Hernia: This condition occurs when a portion of the abdominal contents protrudes through a defect in the diaphragm. The left crus of diaphragm can be involved, leading to symptoms such as shortness of breath, chest pain, and abdominal discomfort.
  • Diaphragmatic Eventration: This is a condition where the diaphragm is weakened or paralyzed, often due to injury or neurological issues. The left crus of diaphragm may be affected, resulting in impaired respiratory function and increased risk of respiratory infections.
  • Diaphragmatic Rupture: This is a rare but serious condition where the diaphragm is torn, often due to trauma. The left crus of diaphragm can be involved, leading to life-threatening complications such as herniation of abdominal organs into the thoracic cavity.

Diagnosis and Treatment

Diagnosing conditions affecting the left crus of diaphragm typically involves a combination of clinical evaluation, imaging studies, and diagnostic tests. Some of the common diagnostic methods include:

  • Chest X-ray: This imaging test can help identify abnormalities in the diaphragm, such as hernias or eventration.
  • Computed Tomography (CT) Scan: CT scans provide detailed images of the diaphragm and surrounding structures, aiding in the diagnosis of complex conditions.
  • Magnetic Resonance Imaging (MRI): MRI can offer high-resolution images of the diaphragm and its crura, helping to identify structural abnormalities.
  • Fluoroscopy: This dynamic imaging technique can visualize the movement of the diaphragm during respiration, helping to assess its function.

Treatment for conditions affecting the left crus of diaphragm depends on the underlying cause and severity of symptoms. Some of the common treatment options include:

  • Surgical Repair: For conditions such as diaphragmatic hernia or rupture, surgical intervention may be necessary to repair the defect and restore normal function.
  • Physical Therapy: In cases of diaphragmatic eventration or weakness, physical therapy can help improve respiratory function and strengthen the diaphragm.
  • Medications: In some cases, medications may be prescribed to manage symptoms such as pain or inflammation associated with diaphragmatic conditions.

Prevention and Management

Preventing conditions affecting the left crus of diaphragm involves maintaining overall respiratory health and avoiding risk factors. Some key strategies for prevention and management include:

  • Regular Exercise: Engaging in regular physical activity can help strengthen the diaphragm and improve respiratory function.
  • Avoiding Trauma: Taking precautions to avoid injuries to the chest and abdomen can help prevent diaphragmatic rupture or hernia.
  • Managing Underlying Conditions: Proper management of conditions such as neurological disorders or respiratory infections can help prevent complications affecting the diaphragm.

In addition to these strategies, it is important to seek medical attention promptly if symptoms such as shortness of breath, chest pain, or abdominal discomfort occur. Early diagnosis and treatment can help prevent complications and improve outcomes.

Research and Future Directions

Ongoing research is focused on understanding the complex anatomy and function of the diaphragm, including the left crus of diaphragm. Advances in imaging techniques and diagnostic tools are providing new insights into the mechanisms underlying diaphragmatic conditions. Future research may lead to the development of novel therapies and interventions for improving respiratory health and managing diaphragmatic disorders.

Some of the key areas of research include:

  • Imaging Techniques: Developing more advanced imaging techniques to visualize the diaphragm and its crura in greater detail.
  • Biomechanical Studies: Investigating the biomechanical properties of the diaphragm and its crura to understand their role in respiration.
  • Genetic Factors: Exploring the genetic factors that may contribute to diaphragmatic conditions and their potential role in prevention and treatment.

As our understanding of the left crus of diaphragm and its role in respiratory health continues to evolve, so too will the strategies for prevention, diagnosis, and treatment of related conditions.

📝 Note: Always consult with a healthcare professional for personalized advice and treatment options related to diaphragmatic conditions.

In summary, the left crus of diaphragm is a critical component of the respiratory system, playing a vital role in breathing and overall respiratory health. Understanding its anatomy, function, and clinical significance is essential for medical professionals and enthusiasts alike. By maintaining respiratory health, seeking prompt medical attention, and staying informed about the latest research, individuals can take proactive steps to prevent and manage conditions affecting the left crus of diaphragm. This comprehensive approach ensures optimal respiratory function and overall well-being.

Related Terms:

  • crural diaphragm diagram
  • right crus of diaphragm
  • what passes through the diaphragm
  • left and right crus
  • diaphragm location and function
  • 3 openings of diaphragm