November 6, 2024

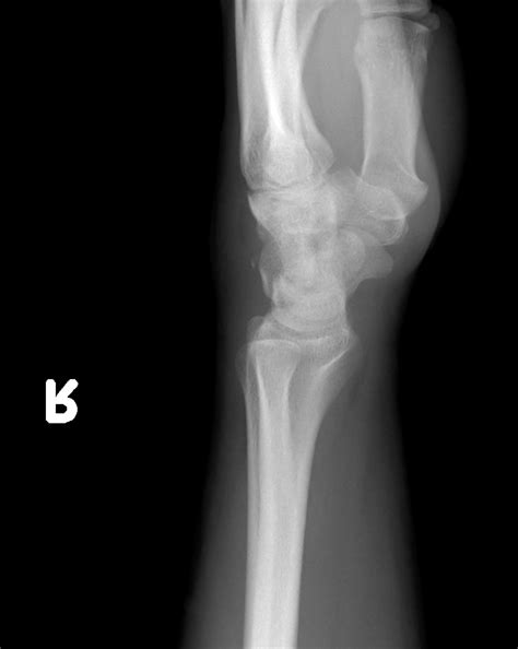
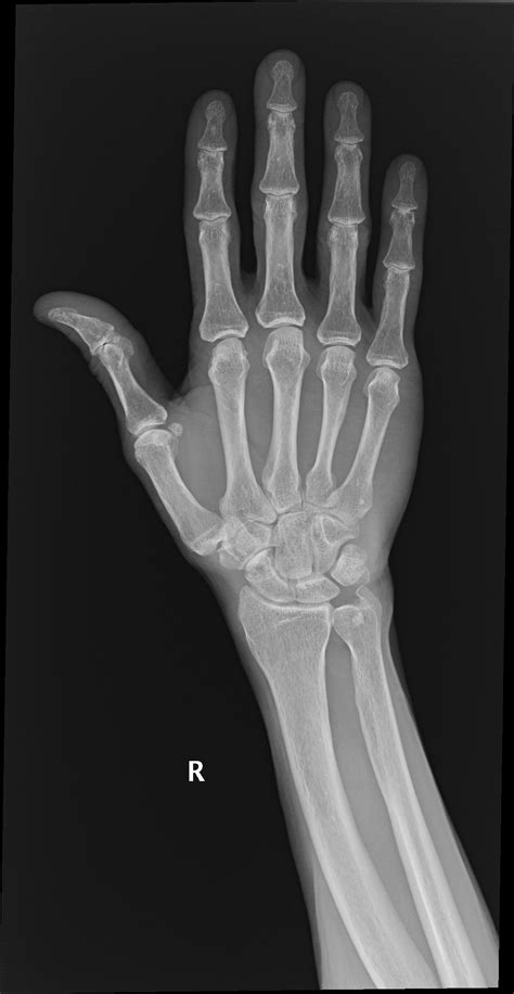
Fractured Triquetral Bone

Fractured Triquetral Bone

Injuries to the wrist can be complex and often involve multiple bones and ligaments. One such injury that is less commonly discussed but equally important is a fractured triquetral bone. The triquetral bone is one of the eight carpal bones in the wrist, and fractures to this bone can significantly impact wrist function and mobility. Understanding the causes, symptoms, diagnosis, and treatment options for a fractured triquetral bone is crucial for anyone experiencing wrist pain or injury.

Understanding the Triquetral Bone

The triquetral bone is a small, pyramid-shaped bone located on the medial side of the wrist, near the ulna. It plays a crucial role in the stability and movement of the wrist joint. The triquetral bone articulates with several other carpal bones, including the lunate, hamate, and pisiform, as well as the ulna. Its position and connections make it susceptible to injuries, particularly in cases of falls or direct trauma.

Causes of a Fractured Triquetral Bone

A fractured triquetral bone typically results from a direct blow to the wrist or a fall onto an outstretched hand. Common scenarios include:

  • Sports injuries, such as those occurring in contact sports like football or basketball.
  • Falls from heights, such as during rock climbing or cycling.
  • Motor vehicle accidents, where the wrist may be forced into an unnatural position.
  • Repetitive stress injuries, although less common, can also lead to fractures in the triquetral bone.

Symptoms of a Fractured Triquetral Bone

Recognizing the symptoms of a fractured triquetral bone is essential for prompt diagnosis and treatment. Common symptoms include:

  • Severe pain in the wrist, particularly on the medial side.
  • Swelling and bruising around the wrist.
  • Difficulty moving the wrist or hand.
  • Tenderness to touch, especially over the triquetral bone.
  • A feeling of instability or weakness in the wrist.

In some cases, a fractured triquetral bone may present with symptoms similar to other wrist injuries, making it important to seek a professional medical evaluation.

Diagnosing a Fractured Triquetral Bone

Diagnosing a fractured triquetral bone involves a combination of physical examination and imaging tests. The diagnostic process typically includes:

  • Physical examination: A healthcare provider will assess the wrist for swelling, tenderness, and range of motion.
  • X-rays: Standard X-rays can often reveal a fracture in the triquetral bone. However, due to the small size of the bone, additional views or specialized imaging may be required.
  • CT scan: A computed tomography (CT) scan provides detailed images of the bone and can help identify fractures that are not visible on standard X-rays.
  • MRI: Magnetic resonance imaging (MRI) can be used to assess soft tissue injuries and provide a more comprehensive view of the wrist joint.

In some cases, a combination of these imaging tests may be necessary to confirm the diagnosis and determine the extent of the injury.

Treatment Options for a Fractured Triquetral Bone

The treatment for a fractured triquetral bone depends on the severity of the fracture and the individual’s overall health. Common treatment options include:

  • Conservative treatment: For non-displaced or minimally displaced fractures, conservative treatment may be sufficient. This typically involves:
    • Immobilization: Wearing a cast or splint to keep the wrist stable and promote healing.
    • Pain management: Over-the-counter pain relievers or prescription medications to manage pain and inflammation.
    • Physical therapy: Exercises to improve range of motion, strength, and flexibility once the fracture has healed.
  • Surgical treatment: In cases of displaced or comminuted fractures, surgery may be required. Surgical options include:
    • Open reduction and internal fixation (ORIF): A surgical procedure to realign the bone fragments and secure them with screws, plates, or wires.
    • Arthroscopy: A minimally invasive procedure to repair the fracture and assess any associated soft tissue injuries.

The choice of treatment will depend on various factors, including the severity of the fracture, the patient’s age and overall health, and the presence of any associated injuries.

Recovery and Rehabilitation

Recovery from a fractured triquetral bone can take several weeks to months, depending on the severity of the injury and the chosen treatment method. The rehabilitation process typically involves:

  • Immobilization: Wearing a cast or splint for a period of 4 to 6 weeks to allow the bone to heal.
  • Gradual return to activity: Slowly increasing wrist and hand movements as directed by a healthcare provider or physical therapist.
  • Physical therapy: Exercises to improve range of motion, strength, and flexibility. This may include:
    • Range of motion exercises: Gentle movements to improve wrist flexibility.
    • Strengthening exercises: Exercises to build muscle strength and stability in the wrist and hand.
    • Functional exercises: Activities that simulate daily tasks to improve overall hand and wrist function.

It is important to follow the rehabilitation plan as directed by a healthcare provider to ensure a successful recovery and minimize the risk of complications.

Complications of a Fractured Triquetral Bone

While most fractures of the triquetral bone heal without complications, there are potential risks to be aware of. These include:

  • Nonunion: Failure of the bone to heal properly, which may require additional treatment.
  • Malunion: Healing of the bone in an improper position, which can affect wrist function and mobility.
  • Arthritis: Development of arthritis in the wrist joint due to the injury or subsequent surgery.
  • Nerve or tendon damage: Injury to nearby nerves or tendons, which can affect hand and wrist function.

Regular follow-up with a healthcare provider can help monitor healing and address any potential complications promptly.

Preventing Wrist Injuries

Preventing wrist injuries, including fractures of the triquetral bone, involves taking proactive measures to protect the wrist during activities. Some preventive strategies include:

  • Wearing protective gear: Using wrist guards or braces during sports or activities that pose a risk of wrist injury.
  • Proper technique: Learning and practicing proper techniques for falls and landings to minimize the impact on the wrist.
  • Strengthening exercises: Engaging in exercises to strengthen the muscles and ligaments around the wrist and hand.
  • Avoiding high-risk activities: Being cautious during activities that pose a high risk of falls or direct trauma to the wrist.

By taking these preventive measures, individuals can reduce the risk of wrist injuries and maintain overall wrist health.

📝 Note: Always consult with a healthcare provider for personalized advice and treatment options tailored to your specific needs.

In summary, a fractured triquetral bone is a specific type of wrist injury that requires prompt diagnosis and appropriate treatment. Understanding the causes, symptoms, and treatment options for this injury can help individuals seek timely medical attention and ensure a successful recovery. By following a comprehensive rehabilitation plan and taking preventive measures, individuals can minimize the risk of complications and maintain optimal wrist function.

Related Terms:

  • closed displaced fracture of triquetrum
  • triquetral bone fracture treatment
  • triquetral fracture healing time
  • non displaced triquetral fracture
  • displaced fracture of triquetrum bone
  • triquetral bone fracture icd 10