August 30, 2025

Cyst On Hip

Cyst On Hip

Understanding a cyst on hip can be crucial for anyone experiencing discomfort or noticing unusual lumps in the hip area. This condition, while often benign, can cause significant pain and mobility issues if left untreated. This blog post aims to provide a comprehensive overview of cysts on the hip, including their causes, symptoms, diagnosis, and treatment options.

What is a Cyst on Hip?

A cyst on hip is a fluid-filled sac that develops in the hip area. These cysts can vary in size and location, and they can occur in different tissues, including muscles, tendons, and bones. While some cysts are harmless and resolve on their own, others may require medical intervention to prevent complications.

Causes of Cyst on Hip

The exact cause of a cyst on hip can vary, but several factors are commonly associated with their development:

  • Trauma or Injury: Physical trauma or injury to the hip area can lead to the formation of cysts. This is often seen in athletes or individuals who engage in high-impact activities.
  • Inflammation: Chronic inflammation in the hip joint or surrounding tissues can result in cyst formation. Conditions like bursitis or tendinitis can contribute to this.
  • Degenerative Conditions: Conditions such as osteoarthritis can cause wear and tear on the hip joint, leading to the development of cysts.
  • Infections: In some cases, infections in the hip area can lead to the formation of cysts. These infections can be bacterial, viral, or fungal in nature.

Symptoms of Cyst on Hip

The symptoms of a cyst on hip can vary depending on the size, location, and underlying cause. Common symptoms include:

  • Pain: Persistent or intermittent pain in the hip area is a common symptom. The pain may worsen with movement or pressure.
  • Swelling: Visible swelling or a lump in the hip area can indicate the presence of a cyst.
  • Limited Mobility: Difficulty moving the hip joint or performing daily activities due to pain and discomfort.
  • Redness and Warmth: In some cases, the area around the cyst may appear red and feel warm to the touch, indicating inflammation or infection.

Diagnosis of Cyst on Hip

Diagnosing a cyst on hip typically involves a combination of physical examination and imaging tests. The diagnostic process may include:

  • Physical Examination: A healthcare provider will examine the hip area, checking for lumps, swelling, and tenderness.
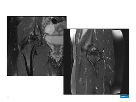
  • Imaging Tests: Various imaging tests can help confirm the presence and nature of the cyst. These may include:
Imaging Test Description
X-ray Provides a clear view of the bones and can help identify bone-related cysts.
Ultrasound Uses sound waves to create images of soft tissues and can help determine the size and location of the cyst.
MRI Offers detailed images of soft tissues, bones, and joints, providing a comprehensive view of the cyst and surrounding structures.
CT Scan Provides cross-sectional images of the body, useful for identifying complex cysts and their relationship to other structures.

In some cases, a biopsy may be performed to rule out more serious conditions, such as tumors or infections.

Treatment Options for Cyst on Hip

The treatment for a cyst on hip depends on the size, location, and underlying cause. Common treatment options include:

  • Observation: Small, asymptomatic cysts may be monitored over time to ensure they do not grow or cause complications.
  • Medications: Over-the-counter pain relievers, such as ibuprofen or acetaminophen, can help manage pain and inflammation. In some cases, prescription medications may be necessary.
  • Physical Therapy: Exercises and stretches can help improve mobility and reduce pain. A physical therapist can develop a personalized treatment plan.
  • Aspiration: A procedure where a needle is used to drain the fluid from the cyst. This can provide immediate relief but may not prevent the cyst from recurring.
  • Surgical Removal: In cases where the cyst is large, causing significant pain, or at risk of rupturing, surgical removal may be recommended. This can be done through minimally invasive techniques or open surgery.

📝 Note: It is essential to consult with a healthcare provider to determine the most appropriate treatment plan for a cyst on hip. Self-treatment or ignoring the condition can lead to complications.

Prevention of Cyst on Hip

While not all cysts on the hip can be prevented, there are steps you can take to reduce the risk of developing them:

  • Maintain a Healthy Weight: Excess weight can put additional stress on the hip joints, increasing the risk of cyst formation.
  • Stay Active: Regular exercise can help strengthen the muscles and improve joint stability, reducing the risk of injury and cyst formation.
  • Warm Up and Cool Down: Proper warm-up and cool-down exercises before and after physical activity can help prevent injuries that may lead to cyst formation.
  • Use Proper Technique: Whether you are exercising, lifting heavy objects, or performing daily activities, using proper technique can help prevent injuries and reduce the risk of cyst formation.

When to Seek Medical Attention

If you notice any of the following symptoms, it is important to seek medical attention promptly:

  • Severe or worsening pain in the hip area.
  • Rapidly increasing swelling or a lump in the hip area.
  • Redness, warmth, or signs of infection around the cyst.
  • Difficulty moving the hip joint or performing daily activities.

Early diagnosis and treatment can help prevent complications and improve outcomes.

In summary, a cyst on hip can be a painful and debilitating condition, but with proper diagnosis and treatment, it can be effectively managed. Understanding the causes, symptoms, and treatment options can help individuals take proactive steps to address this condition and improve their quality of life. Regular check-ups and consultations with healthcare providers are essential for monitoring and managing cysts on the hip.