January 28, 2026

Condyloma Acuminatum Vs Lata

Condyloma Acuminatum Vs Lata

Understanding the differences between *Condyloma Acuminatum* and *Condyloma Lata* is crucial for accurate diagnosis and effective treatment of these sexually transmitted infections (STIs). Both conditions are caused by different strains of the human papillomavirus (HPV) and the bacterium *Treponema pallidum*, respectively, and present with distinct symptoms and treatment options.

What is Condyloma Acuminatum?

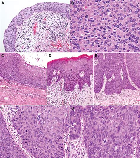
*Condyloma Acuminatum*, commonly known as genital warts, is a sexually transmitted infection caused by certain strains of the human papillomavirus (HPV). These warts appear as small, flesh-colored or gray growths in the genital area. They can be single or multiple and may cluster together, forming a cauliflower-like shape.

Genital warts are highly contagious and can be transmitted through sexual contact, including vaginal, anal, and oral sex. The incubation period for genital warts can vary, ranging from a few weeks to several months after exposure to the virus.

Symptoms of Condyloma Acuminatum

The primary symptom of *Condyloma Acuminatum* is the appearance of warts in the genital area. These warts can cause discomfort, itching, and pain, especially during sexual activity or urination. However, some individuals may not experience any symptoms at all, making it possible to unknowingly transmit the infection to others.

Other symptoms may include:

  • Bleeding during sexual activity or urination
  • Discharge from the vagina or penis
  • Swelling or redness in the genital area

Diagnosis of Condyloma Acuminatum

Diagnosing *Condyloma Acuminatum* typically involves a visual examination of the genital area by a healthcare provider. In some cases, a biopsy may be performed to confirm the presence of HPV. Additionally, HPV testing can be done to determine the specific strain of the virus.

Treatment Options for Condyloma Acuminatum

There is no cure for HPV, but there are several treatment options available to manage and remove genital warts. These include:

  • Topical medications: Creams and ointments such as imiquimod, podofilox, and sinecatechins can be applied directly to the warts to destroy the infected tissue.
  • Cryotherapy: Freezing the warts with liquid nitrogen to destroy the infected tissue.
  • Electrocautery: Using an electrical current to burn off the warts.
  • Laser therapy: Using a laser to destroy the warts.
  • Surgical excision: Cutting out the warts using a scalpel or scissors.

It is important to note that treatment may not eliminate the virus itself, and warts can recur even after successful treatment. Regular follow-up with a healthcare provider is essential to monitor for recurrence and manage any symptoms.

What is Condyloma Lata?

*Condyloma Lata* is a type of skin lesion associated with secondary syphilis, a bacterial infection caused by *Treponema pallidum*. Unlike *Condyloma Acuminatum*, *Condyloma Lata* is not caused by HPV but rather by the syphilis bacterium. These lesions are typically flat, moist, and grayish-white in color, and they can appear on the genital area, anus, or mouth.

*Condyloma Lata* is highly contagious and can be transmitted through sexual contact. The incubation period for syphilis can vary, but symptoms usually appear within 2 to 10 weeks after exposure to the bacterium.

Symptoms of Condyloma Lata

The primary symptom of *Condyloma Lata* is the appearance of flat, moist lesions in the genital area. These lesions can be painless but may cause discomfort or itching. Other symptoms of secondary syphilis may include:

  • Fever
  • Fatigue
  • Swollen lymph nodes
  • Sore throat
  • Muscle aches
  • Rash on the palms of the hands and soles of the feet

Diagnosis of Condyloma Lata

Diagnosing *Condyloma Lata* involves a combination of physical examination and laboratory tests. A healthcare provider will examine the lesions and may perform a blood test to detect the presence of syphilis antibodies. Additionally, a dark-field microscopy examination of the lesion can confirm the presence of *Treponema pallidum*.

Treatment Options for Condyloma Lata

Treatment for *Condyloma Lata* involves antibiotics to eliminate the syphilis bacterium. The most commonly prescribed antibiotic is penicillin, which is highly effective in treating syphilis. Other antibiotics, such as doxycycline or tetracycline, may be used for individuals who are allergic to penicillin.

It is crucial to complete the full course of antibiotics as prescribed by a healthcare provider to ensure the infection is fully treated. Regular follow-up is necessary to monitor for any recurrence of symptoms and to ensure the infection has been completely eradicated.

Condyloma Acuminatum Vs Lata: Key Differences

Understanding the key differences between *Condyloma Acuminatum* and *Condyloma Lata* is essential for accurate diagnosis and effective treatment. Here is a comparison of the two conditions:

Feature Condyloma Acuminatum Condyloma Lata
Cause Human papillomavirus (HPV) Treponema pallidum (syphilis bacterium)
Appearance Flesh-colored or gray growths, cauliflower-like shape Flat, moist, grayish-white lesions
Symptoms Itching, discomfort, pain during sexual activity or urination Painless lesions, discomfort, itching, fever, fatigue, rash
Diagnosis Visual examination, biopsy, HPV testing Physical examination, blood test, dark-field microscopy
Treatment Topical medications, cryotherapy, electrocautery, laser therapy, surgical excision Antibiotics (penicillin, doxycycline, tetracycline)

While both conditions can cause genital lesions, the underlying causes, symptoms, and treatment options differ significantly. Accurate diagnosis is crucial for effective management and prevention of complications.

📌 Note: If you suspect you have either *Condyloma Acuminatum* or *Condyloma Lata*, it is important to seek medical attention promptly. Early diagnosis and treatment can prevent the spread of the infection and reduce the risk of complications.

Both Condyloma Acuminatum and Condyloma Lata are sexually transmitted infections that require careful management and treatment. Understanding the differences between these conditions is essential for accurate diagnosis and effective treatment. Regular follow-up with a healthcare provider is crucial to monitor for recurrence and manage any symptoms. Early diagnosis and treatment can prevent the spread of the infection and reduce the risk of complications.

Related Terms:

  • condyloma lata genital
  • condyloma lata vs acuminata pictures
  • condyloma lata photos
  • condyloma acuminatum vs acuminata
  • condyloma lata meaning
  • condyloma lata vs acuminata difference