February 21, 2026

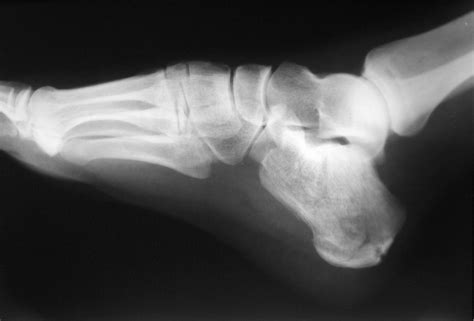
Calcaneus X Ray

Calcaneus X Ray

Understanding the importance of a Calcaneus X Ray is crucial for anyone dealing with foot or ankle injuries. This diagnostic tool plays a pivotal role in identifying fractures, dislocations, and other bone-related issues in the heel area. Whether you are a healthcare professional, an athlete, or someone who has experienced a foot injury, knowing the ins and outs of a Calcaneus X Ray can provide valuable insights into your condition and treatment options.

What is a Calcaneus X Ray?

A Calcaneus X Ray is a medical imaging technique used to visualize the calcaneus, or heel bone. This type of X-ray is particularly useful for diagnosing fractures, dislocations, and other abnormalities in the heel area. The calcaneus is the largest bone in the foot and is subject to significant stress and impact, making it prone to injuries, especially in athletes and individuals involved in high-impact activities.

When is a Calcaneus X Ray Necessary?

A Calcaneus X Ray is typically ordered by a healthcare provider when a patient presents with symptoms such as:

  • Severe pain in the heel area
  • Swelling and bruising
  • Difficulty walking or bearing weight on the affected foot
  • Visible deformity or misalignment of the heel
  • History of trauma or injury to the foot

These symptoms can indicate a fracture or other serious condition that requires immediate medical attention. A Calcaneus X Ray helps to confirm the diagnosis and guide the appropriate treatment plan.

The Procedure of a Calcaneus X Ray

The procedure for a Calcaneus X Ray is relatively straightforward and involves minimal discomfort. Here is a step-by-step guide to what you can expect:

  • Preparation: The patient is usually asked to remove any jewelry or metal objects from the area to be imaged. This is to avoid interference with the X-ray images.
  • Positioning: The patient is positioned on the X-ray table, and the affected foot is placed in a specific position to ensure clear visibility of the calcaneus. The technician may use supports or cushions to keep the foot in the correct position.
  • Imaging: The X-ray machine is positioned over the foot, and multiple images are taken from different angles to provide a comprehensive view of the calcaneus. The technician may ask the patient to hold still and avoid moving during the imaging process.
  • Duration: The entire procedure typically takes about 10-15 minutes, including the time needed for positioning and imaging.

📝 Note: It is important to follow the technician’s instructions carefully to ensure accurate and clear images. If you have any concerns or questions during the procedure, do not hesitate to ask the technician or your healthcare provider.

Interpreting the Results of a Calcaneus X Ray

Interpreting the results of a Calcaneus X Ray requires the expertise of a radiologist or orthopedic specialist. The images are carefully examined for signs of fractures, dislocations, or other abnormalities. Here are some common findings that may be identified:

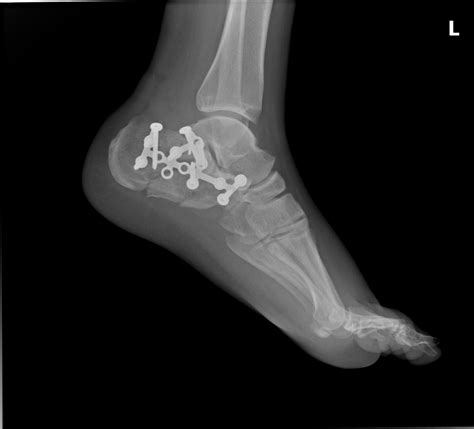
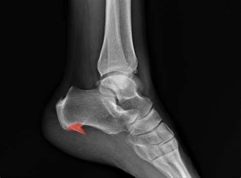
  • Fractures: These can range from simple cracks to complex fractures involving multiple bone fragments. The location and severity of the fracture will determine the appropriate treatment.
  • Dislocations: These occur when the bones in the heel area are displaced from their normal position. Dislocations can cause significant pain and may require surgical intervention.
  • Bone Spurs: These are bony projections that can form on the heel bone due to chronic stress or inflammation. Bone spurs can cause pain and discomfort, especially during weight-bearing activities.
  • Arthritis: X-rays can also reveal signs of arthritis, such as joint space narrowing and bone spurs, which can affect the heel and surrounding joints.

Based on the findings, the healthcare provider will develop a treatment plan tailored to the patient’s specific condition. This may include rest, immobilization, medication, physical therapy, or surgery.

Common Injuries Diagnosed with a Calcaneus X Ray

A Calcaneus X Ray is a valuable tool for diagnosing a variety of heel injuries. Some of the most common conditions include:

  • Calcaneal Fractures: These are fractures of the heel bone and can occur due to falls, high-impact activities, or trauma. They are often classified as intra-articular (involving the joint) or extra-articular (not involving the joint).
  • Achilles Tendon Injuries: While not directly visible on a Calcaneus X Ray, the presence of a calcaneal spur or other bony abnormalities can indicate underlying issues with the Achilles tendon.
  • Plantar Fasciitis: This condition involves inflammation of the plantar fascia, a thick band of tissue that runs along the bottom of the foot. While not directly visible on an X-ray, a Calcaneus X Ray can help rule out other causes of heel pain.
  • Heel Spurs: These are bony projections that can form on the underside of the heel bone. They are often associated with plantar fasciitis and can cause significant pain and discomfort.

Each of these conditions requires a different approach to treatment, and a Calcaneus X Ray plays a crucial role in guiding the appropriate course of action.

Treatment Options for Calcaneus Injuries

Once a diagnosis is made using a Calcaneus X Ray, the healthcare provider will develop a treatment plan based on the severity and type of injury. Treatment options may include:

  • Rest and Immobilization: For minor fractures or sprains, rest and immobilization using a cast, boot, or brace may be recommended to allow the bone to heal.
  • Medication: Pain relievers and anti-inflammatory medications can help manage pain and reduce inflammation. In some cases, stronger medications may be prescribed.
  • Physical Therapy: Exercises and stretches can help improve strength, flexibility, and range of motion in the affected foot. Physical therapy is often an essential part of the recovery process.
  • Surgery: In cases of severe fractures or dislocations, surgery may be necessary to realign the bones and stabilize the joint. Surgical options may include open reduction and internal fixation (ORIF) or arthroscopy.

It is important to follow the treatment plan as prescribed by the healthcare provider to ensure optimal healing and recovery.

Preventing Calcaneus Injuries

While not all heel injuries can be prevented, there are several steps you can take to reduce the risk of Calcaneus X Ray findings. These include:

  • Wearing Appropriate Footwear: Choose shoes that provide adequate support and cushioning, especially during high-impact activities.
  • Gradual Increase in Activity: Avoid sudden increases in physical activity or intensity. Gradually build up your strength and endurance to reduce the risk of injury.
  • Stretching and Strengthening Exercises: Regular stretching and strengthening exercises can help improve the flexibility and strength of the muscles and tendons in the foot and ankle.
  • Maintaining a Healthy Weight: Excess weight can put additional stress on the feet and ankles, increasing the risk of injury. Maintaining a healthy weight can help reduce this risk.

By taking these preventive measures, you can help protect your heels and reduce the likelihood of needing a Calcaneus X Ray in the future.

Conclusion

A Calcaneus X Ray is an essential diagnostic tool for identifying and treating heel injuries. Whether you are dealing with a fracture, dislocation, or other bone-related issue, a Calcaneus X Ray provides valuable insights into your condition and guides the appropriate treatment plan. By understanding the procedure, interpreting the results, and following preventive measures, you can take proactive steps to protect your heel health and ensure a speedy recovery from any injuries.

Related Terms:

  • calcaneus x ray ap
  • calcaneus angle x ray
  • calcaneus x ray anatomy
  • calcaneus x ray position
  • axial calcaneus x ray positioning
  • calcaneus x ray series